来自家长对衷德的评价(33)
发布时间:2025-10-27
作者:上海衷德
阅读量:282


——————————————————————————●——————————————————————————

More details:https://www.dianping.com/shop/H7sLY25jNkrsXOpL
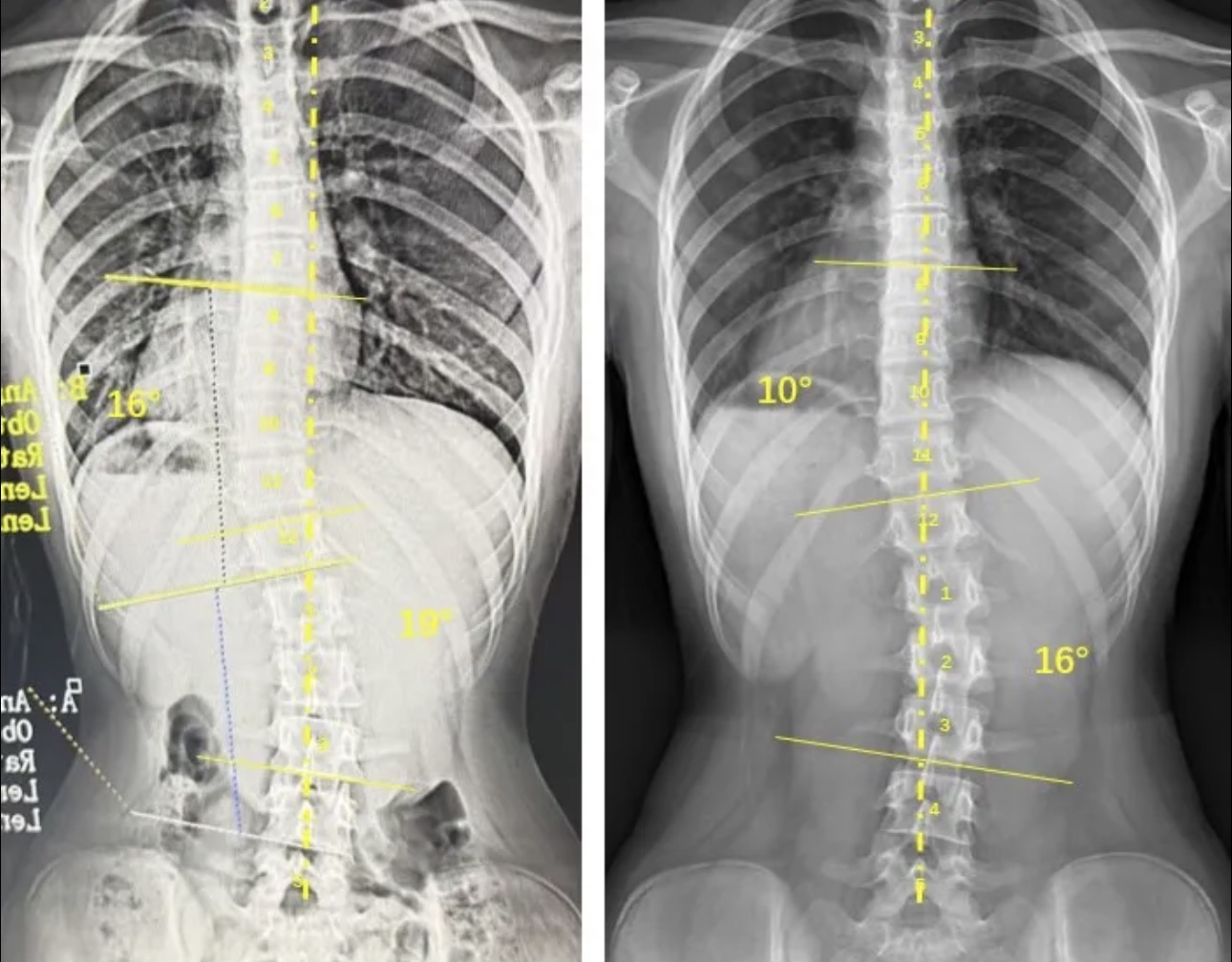
衷德脊柱,我们只关注侧弯保守治疗~
Zhongde Spine, bending no breaking ~