我是小俊,从17度到3度,这是我的脊柱侧弯修炼手册
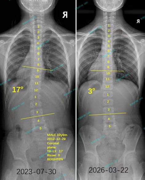
案例主人:小俊 发现侧弯年龄:12岁 侧弯情况:Cobb角度17度
我叫小俊,今年12岁,是一个热爱喜欢听tfboys的男孩。他们的歌总能给我力量,尤其是当我知道自己脊柱侧弯17度的时候,是他们的音乐陪伴我度过了那段迷茫的日子。
My name is Xiaojun, and I'm 12 years old; I'm a boy who loves TFBoys, whose songs always give me strength, especially when I found out that I have a 17-degree scoliosis; it was their music that helped me get through those confusing days.

刚开始,我被确认脊柱侧弯时,我就立马进行康复训练,但是效果并不好,妈妈还帮我报名了一期拳击班,但对我的脊柱侧弯也没有帮助,最终,妈妈带我去了杨博士的衷德脊柱侧弯矫正与研究中心,杨医生详细分析了我的情况,并且高度怀疑我是神经纤维瘤病型的脊柱侧弯,是一种常染色体显性遗传病,具体表现为皮肤咖啡牛奶斑。记得第一次见到杨医生时,我紧张得手心冒汗。他告诉我,只要坚持训练,侧弯是可以改善的。于是,我开始了在衷德脊柱的康复之旅。每次训练都很辛苦,但我会听着音乐,循环播放TFboys的歌曲,跟着节奏调整呼吸,仿佛他们就在我身边为我加油。
At first, when I was diagnosed with scoliosis, I underwent rehabilitation training at a Grade-A hospital, but the results were not satisfactory. My mother even signed me up for a boxing class, which also proved ineffective in addressing my scoliosis. Eventually, she took me to Dr. Yang's Zhongde Scoliosis clinic and research center in Shanghai. Dr. Yang thoroughly analyzed my condition and strongly suspected that I might have neurofibromatosis type scoliosis, a type of autosomal dominant inherited disease characterized by café-au-lait spots on the skin. When I first met Dr. Yang, I was so nervous that my palms were clammy with sweat. He reassured me that with consistent training, my scoliosis could indeed be improved. Thus, my journey of rehabilitation at Zhongde Scoliosis clinic and research center began. Each session was grueling, but I would listen to music, specifically the songs by TFBoys, and synchronize my breathing with the rhythm, as if they were cheering me on from beside me.

这一年我长高了10cm,训练也让我的体态看起来挺拔了许多,现在我整个人都笔笔直的,努力也没有白费。现在我的角度已经降到了3度,体态也明显改善了。杨医生说,康复就像爬山,偶尔会滑倒,但只要方向对了,总能登顶。而对我来说,TFboys的歌就是一路上的背景音乐,让我每一步都走得更有力量。感谢杨医生和他的团队的专业指导,没有杨医生团队的专业指导,我不知道我还要在脊柱侧弯康复中走多少弯路。
As expected, all my hard work paid off: the angle has now decreased to 3 degrees, and my posture has significantly improved.Dr. Yang explained that rehabilitation is akin to climbing a mountain; occasionally, you might slip, but as long as you stay on the right path, you will eventually reach the summit. For me, the songs by TFBoys have served as background music, giving me the strength to take each step forward. I am deeply grateful to Dr. Yang and his team for their professional guidance; without their expertise, I fear I would have taken many unnecessary detours in my journey toward recovery from scoliosis.

——————————————————————————●——————————————————————————
衷德脊柱,我们只关注侧弯保守治疗~
Zhongde Spine, bending no breaking ~
